Skip to content

A avut parte de cea mai complexă reabilitare orală cu ajutorul implanturilor dentare. Experiența pacientei DentOP

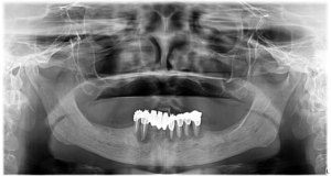
Doamna Filip a avut parte la clinica DentOP de cea mai complexă reabilitare orală, utilizând implanturi zigomatice.În urma unei consultații cu Dr. Cazacu Corrado, s-a constatat o retracție osoasă severă la nivelul maxilarului, făcând imposibilă utilizarea implanturilor convenționale pe termen lung. Radiografia atașată mai jos ilustrează situația clinică inițială.

Intervenția Chirurgicală și Implanturile Zigomatice

Într-o singură intervenție chirurgicală, au fost inserate pacientei 4 implanturi zigomatice la maxilar, iar la mandibulă au fost extrasi dinții rămași și inserate 4 implanturi convenționale. Deși a fost cel mai complex caz de reabilitare orală, pacienta a declarat:„Când am ajuns acasă, mă așteptam să fie ceva dureros. În schimb, nu am simțit absolut nimic și m-am simțit foarte bine!”

Motivele Alegerii Clinicii DentOP

Pacienta a fost convinsă să apeleze la implanturi dentare la clinica DentOP din următoarele motive:
  1. „Am căutat foarte mult pe internet, pentru că sunt o persoană perfecționistă!”
  2. „Unul dintre criterii a fost faptul că se face cu Sedare Conștientă!”
  3. „Al doilea important criteriu a fost dantura fixă pe implanturi zigomatice.”

Ce Sunt Implanturile Zigomatice?

Implanturile zigomatice sunt un tip special de implant dentar, conceput pentru pacienții cu pierdere severă de os maxilar. Aceste implanturi sunt mai lungi decât cele convenționale și sunt ancorate direct în osul zigomatic (osul pomeților), oferind o soluție stabilă și durabilă pentru fixarea protezelor dentare. Puteți vedea pe radiografia panoramică a pacientei cum arată implanturile zigomatice inserate.

Beneficiile Post-Intervenție

După finalizarea lucrărilor, doamna Filip și-a redobândit plăcerile culinare: „Am mâncat un măr, îmi doream foarte mult!”Dr. Cazacu Corrado subliniază importanța pacientului: „Să ne gândim mereu, indiferent de nivelul la care suntem, medical și în interesul pacientului.”

Vizualizați Povestea Integrală

Povestea integrală a pacientei poate fi vizualizată accesând: Povestea Doamnei Filip la Clinica DentOP

Din blog

Cele mai recente știri, interviuri, tehnologii și resurse.

Comunitatea DentOP

Comunitatea de suport pentru pacienții DentOP - unde vei avea ocazia să discuți cu alți pacienți ce deja au trecut prin această procedură.

Adreseaza o intrebare celor care s-au operat la noi
Facebook DentOP community group screenshot

Peste 11.000 de membri

Discută direct cu pacienții noștri

Întreabă-i cum a fost în intervenție

Vezi cum se simt cu lucrările finale