Boala parodontală agresivă l-a adus la clinica DentOP. În doar 24h și-a recăpătat zâmbetul și masticația.
Boala parodontală agresivă l-a adus pe scaunul Dr. Cazacu Corrado. A suportat cu succes inserarea a 12 implanturi într-o singură ședință de reabilitare orală. Rezultatul său este uimitor.
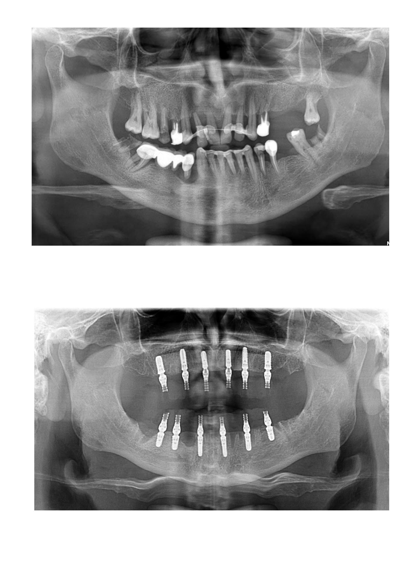
Domnul M. a venit la clinica DentOP cu o boală parodontală agresivă netratată de mult timp. Deși avea mulți dinți pe arcadă, aceștia au fost extrași pentru că nu ajutau. S-au făcut extracții atât sus cât și jos pentru a elimina dinții și gingiile afectate.
În cadrul aceleiași ședințe, domnului B. i-au fost inserate 12 implanturi, iar în doar 24 de ore și-a recăpătat zâmbetul și masticația cu ajutorul lucrărilor provizorii.
În procesul de vindecare, domnul M. a respectat în totalitate indicațiile primite la clinica DentOP și astfel a reușit să-și recapete într-un timp scurt zâmbetul și masticația cu ajutorul procedurii ,,Dantură Fixă în 24h pe implanturi dentare”
În pozele de mai jos putem observa rezultatul său.
La 6 luni după inserarea lucrărilor provizorii, domnul M. a venit la clinica DentOP pentru lucrările finale. Împreună am ales design-ul potrivit, culoarea, dar și mărimea potrivite fizionomiei.
În fotografiile de mai jos, domnul M. doar ce primise lucrările definitive. A urmat apoi ca gingia sa să se mai retragă și să se contopească cu noua dantură. Este normal ca ea să arate așa pe o scurtă perioadă de timp.

Dr Cazacu Corrado este singurul medic specialist chirurgie Dento-Alveolară din România acreditat de rețeaua internațională ZagaCenter cu sediul în Barcelona. În cadrul acestei rețele regăsim clinici din New York, Hong Kong, Londra, Montreal și profesioniști de renume, specializați în reabilitarea celor mai complexe cazuri.
[sc name=”banner1″][/sc]
Ne puteți găsi căutând : ,,cat costă o proteza dentara fixa” ,,Cat costă o dantură fixa” ,,Proteza fixa pe implanturi pret” ,,Cat costa o dantură completa” ,,Implant dentar complet pret” ,,dentop” ,,pret proteza dentara pe implanturi”
,,cat costa un implant dentar” ,,implant dentar rapid pret” ,,proteza fixa pret”





