DANTURA FIXĂ PE IMPLANTURI I-A REDAT POFTA DE VIAȚĂ!
După 20 de ani în care a purtat o proteză parțială și a încercat să își salveze restul dinților, afectați și aceștia, Doamna O. a decis că este timpul să își recapete sănătatea dentară!

Placa mobilă îi crea disconfort și era solicitantă, deoarece adezivul trebuia reaplicat la câteva ore, iar masticația era îngreunată.
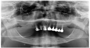
În timpul intervenției chirurgicale i-au fost inserate 6 implanturi dentare premium la maxilar și 4 la mandibulă. Apoi, după ce ne-am asigurat că operația s-a vindecat integral, am fixat dantura finală din Zirconiu pe o structură din Titan.
Zirconiul reprezintă standardul de calitate în reabilitarea dentară în ceea ce privește durabilitatea în timp și estetica. Mai multe detalii despre danturile finale realizate în clinica noastră puteți afla accesând: https://www.youtube.com/watch?v=xhxITRG0cZU

După intervenția chirurgicală pacienții primesc o rețetă pe care trebuie să o urmeze pentru a nu simți durere și pentru a se vindeca repede, însă Doamna O ne-a mărturisit că nu a respectat-o întocmai, deoarece s-a simțit foarte bine!
În prezent, Doamna O. se bucură de noul său zâmbet, este extrem de fericită, și ne-a mărturisit că poate mânca tot ceea ce își dorește – lucru de care i-a fost foarte dor! Puteți urmări testimonialul integral la acest link https://www.youtube.com/watch?v=zzSCOMxLK_E .





