I-am oferit un zâmbet nou cu ajutorul implanturilor dentare după ce au fost extrase lucrările vechi
Vă prezentăm astăzi o pacientă care a beneficiat de implanturi dentare după ce lucrările vechi nu au mai ajutat-o la o bună masticație și din punct de vedere aspectual au devenit o problemă.
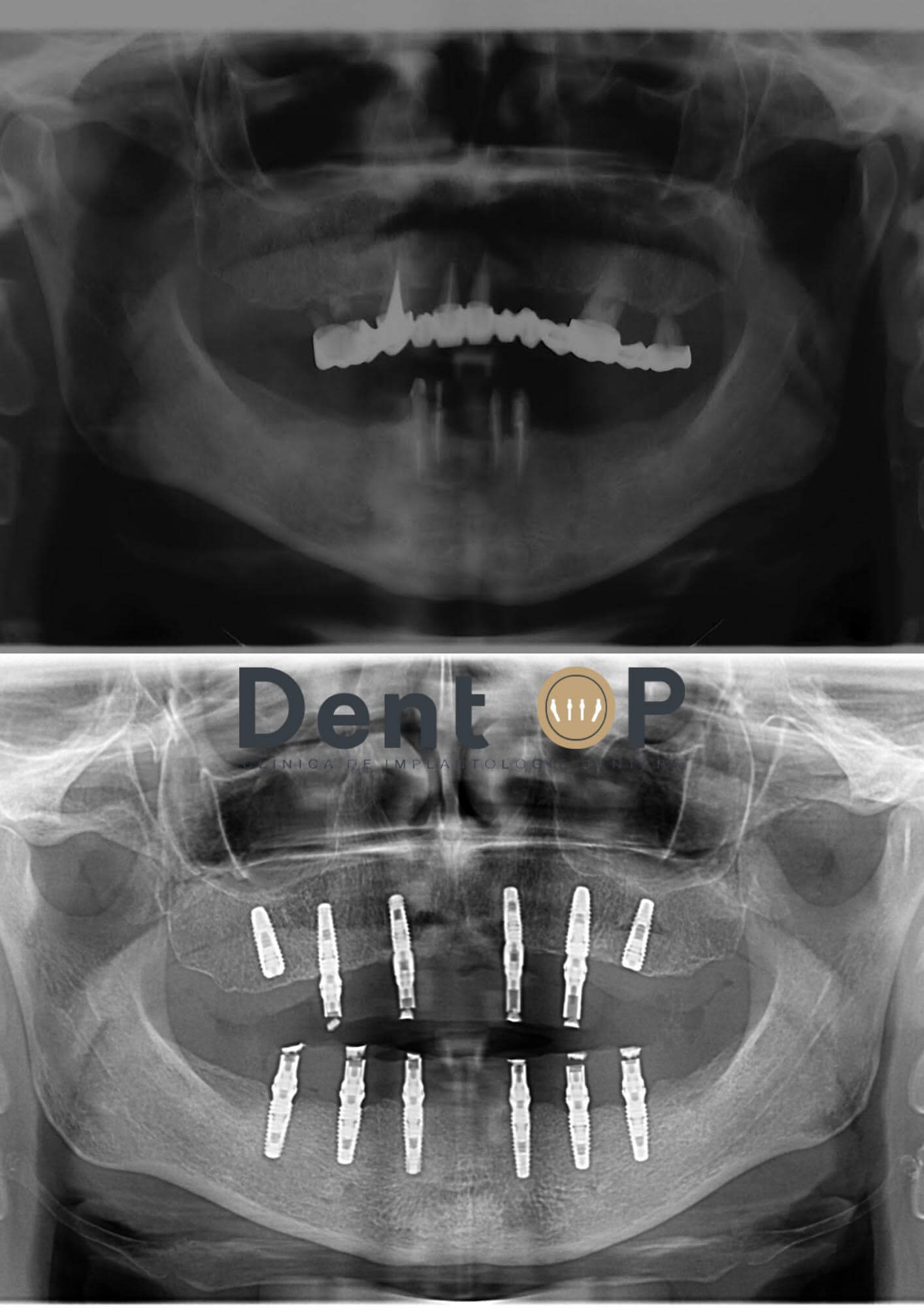
Doamna M. a ales procedura ,,Dantură Fixă în 24h pe implanturi dentare” la recomandarea Dr Cazacu Corrado – Medic Specialist Chirurgie Dento-Alveolară. După o analiză amănunțită a radiografiei si computerului tomograf al pacientei, Dr Cazacu Corrado a decis inserarea a 12 implanturi dentare dintre care 6 la maxilar și 6 la mandibulă.
In radiografia de mai jos vom putea observa cum arata radiografia doamnei M. înainte și după inserarea implanturilor.

Doamna M. s-a vindecat destul de rapid și eficient și astfel după ce a purtat lucrările provizorii inserate la 24h după intervenție, am trecut recent și la ultima etapă.
Etapa lucrărilor finale este o etapă mult așteptată când gingia se vindecă complet deja. Pacienții își aleg culoarea, forma și dimensiunea dinților alături de Medicul Specialist în Protetică Dentară care-i îndrumă spre un zâmbet cât mai potrivit.





