Skip to content

Pacienta a obținut zâmbetul mult dorit în urma reabilitării dentare cu ajutorul implanturilor dentare

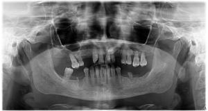
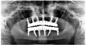
Am reușit să realizăm încă o transformare miraculoasă pentru pacienta noastră, care își dorea de mult un zâmbet perfect din punct de vedere estetic, dar mai ales funcțional.  Masticația este un proces important, ce are impact asupra sănătății generale. Atunci când aceasta nu poate fi realizată în mod corect, totul corpul are de suferit. Cum i-am redat sănătatea pacientei noastre? 
  • Am inserat 6 implanturi la maxilar și 6 la mandibulă 
  • Am folosit tehnica Sinus Lift – pentru a adăuga înălțime osului din jurul sinusurilor maxilare. Acest lucru a fost necesar deoarece am observat că în acea zonă era prezentă o insuficiență osoasă.
 Pentru mai multe detalii despre variantele pe care le folosim atunci când observăm o topire severă osului, apăsați aici.

Din blog

Cele mai recente știri, interviuri, tehnologii și resurse.

Comunitatea DentOP

Comunitatea de suport pentru pacienții DentOP - unde vei avea ocazia să discuți cu alți pacienți ce deja au trecut prin această procedură.

Adreseaza o intrebare celor care s-au operat la noi
Facebook DentOP community group screenshot

Peste 11.000 de membri

Discută direct cu pacienții noștri

Întreabă-i cum a fost în intervenție

Vezi cum se simt cu lucrările finale