Skip to content

Pacientei i-a fost afectată fizionomia feței din cauza pierderii dinților.

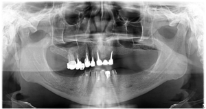
În cazul pacientei noastre, pierderea dinților și a densității osoase a apărut din cauza bolii parodontale, ceea ce a dus la accentuarea ridurilor deja existente. Partea inferioară a feței s-a micșorat și a dus la un aspect îmbătrânit. 

Pentru a-i reda funcționalitatea dentară, dar și o estetică armonioasă a fost nevoie de inserarea a 6 implanturi convențională la maxilar, și 6 la mandibulă. 

Intervenția chirurgicală a fost realizată cu ajutorul Sedării Conștiente, pentru a-i oferi o stare de confort și pentru a nu simți durere.

Pe perioada vindecării implanturilor a fost fixată o dantură provizorie, pentru a-i permite să își continue rutina zilnica, iar la 6 luni după intervenția a fost fixată și dantura finală din zirconiu pe structură de Titan. 

Dr Cazacu Corrado a explicat în cadrul emisiunii „Vorbește Lumea” de la ProTV cât de importantă este o dantură completă și sănătoasă pentru estetica feței. Pentru a urmări materialul:

Din blog

Cele mai recente știri, interviuri, tehnologii și resurse.

Comunitatea DentOP

Comunitatea de suport pentru pacienții DentOP - unde vei avea ocazia să discuți cu alți pacienți ce deja au trecut prin această procedură.

Adreseaza o intrebare celor care s-au operat la noi
Facebook DentOP community group screenshot

Peste 11.000 de membri

Discută direct cu pacienții noștri

Întreabă-i cum a fost în intervenție

Vezi cum se simt cu lucrările finale