Skip to content

Problemele de sănătate au luat sfârşit odată cu reabilitarea orală

În cazul Domnului A. a fost nevoie de o reabilitare totală cu ajutorul a 12 implanturi dentare, inserate astfel: 6 la maxilar și 6 la mandibulă.

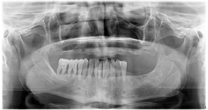
În radiografia prezentată mai jos puteţi observa situaţia dentară iniţială a pacientului nostru, dar şi rezultatul obţinut după inserarea implanturilor convenţionale.

În timpul intervenției am extras, de asemenea, și dinții de la nivelul mandibulei deoarece erau extrem de afectați să îi puteau provoca probleme de sănătate în viitor.

Pacientul a optat pentru o lucrare finală realizată din zirconiu, fixată pe implanturile standard. Zirconiul este un material extrem de rezistent, care are în același timp un aspect natural! 

Dacă doriți să aflați mai multe despre materialele pe care le folosim, apăsați aici.

Din blog

Cele mai recente știri, interviuri, tehnologii și resurse.

Comunitatea DentOP

Comunitatea de suport pentru pacienții DentOP - unde vei avea ocazia să discuți cu alți pacienți ce deja au trecut prin această procedură.

Adreseaza o intrebare celor care s-au operat la noi
Facebook DentOP community group screenshot

Peste 11.000 de membri

Discută direct cu pacienții noștri

Întreabă-i cum a fost în intervenție

Vezi cum se simt cu lucrările finale