ȘI-A RECĂPĂTAT DANTURA DUPĂ CE I S-A SPUS CĂ NU MAI ARE ȘANSE DE A ZÂMBI
În unele cazuri, densitatea osoasă a pacienților noștri este extrem de scăzută și nu mai permite reabilitarea standard cu implanturi.
Atunci când nici adițiile osoase nu mai funcționează, apelăm la implanturi speciale, numite implanturi zigomatice.
Implanturile dentare zigomatice sunt implanturi lungi ce se inserează la maxilar, (osul pometelui). Acestea se folosesc în cazul în care resorbția osoasă în zona maxilarului este severă. pentru mai multe detalii despre implanturile zigomatice puteți viziona acest videoclip.
Acesta a fost și cazul pacientei noastre care, atunci când s-a prezentat la consultația inițială, nu mai avea deloc dantură la maxilar, ceea ce nu ne-a dat de ales, decât să apelăm la această tehnică.
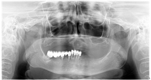
În timpul intervenției chirurgicale au fost inserate 4 implanturi zigomatice în maxilar, și 4 implanturi convenționale la mandibulă. Acestea au fost suficiente pentru a susține o dantură completă și funcțională!







